In the last unit, we learned that FSH has stimulated the ovarian follicles to develop; it stimulates the granulosa cells to proliferate and also produce an important steroid hormone, estradiol. In the meantime, the theca interna cells are stimulated by LH. What is the product of the theca interna cells before ovulation? How does this product help in the production of estradiol?
Estradiol feeds back to the pituitary gonadotropes positively before ovulation and increases its sensitivity to Gonadotropin releasing hormone (which is produced in cell bodies in the hypothalamus). This positive feedback of estradiol and stimulation by GnRH leads to a midcycle surge of LH. This surge stimulates ovulation within 16-20 hours after the LH peak secretion. Just before ovulation, the granulosa cells develop LH receptors and begin to produce progesterone, which prepares the uterine lining for a possible pregnancy. Diagram the pathway of stimulation from GnRH neurons to the pituitary gonadotrope.
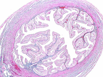
After ovulation, the oocyte is then picked up by the fallopian tube (oviduct) which has fimbria (finger-like processes) extending over each ovary. It becomes simpler as it approaches the uterus. Below is a low magnification view of the fallopian tube in the ampullary region.


This section is taken from the ampulla of the oviduct. Note the elaborately branched mucosal folds projecting into the lumen. The epithelium is simple columnar, although it may appear pseudostratified. The following figure is from your slide 83.

The oviduct wall also has a smooth muscular component which includes circularly, obliquely and longitudinally arranged muscle bundles. Look at the epithelia with higher magnification. Two cell types are evident, as shown in the following photographs. One has cilia (called, appropriately the CILIATED CELLS). The other is classified as a SECRETORY CELL. It is distinguished by a projection of cytoplasm that extends into the lumen. Find these two cell types in the following photographs and in your slide set. The oviduct epithelium undergoes cytological changes with the cycle. What are these changes and how do they help the movement of the oocyte down the oviduct? What is the direction of the beat of the cilia?


After ovulation, the follicular wall collapses and the region becomes filled with blood. This is called a CORPUS HEMORRHAGAGENICA and one can be found in your slide 77. An illustration of a freshly ovulated follicle is shown below. Note the numerous blood cells.

The granulosa and theca interna cells enlarge, accumulate lipid droplets and undergo a process called "luteinization". The region becomes vascularized and a CORPUS LUTEUM forms.

What is the principal product of the corpus luteum and what is its major function? These steroid-producing cells produce estrogen and progesterone.
Corpus Albicans
If the ovum is not fertilized, the corpus luteum begins to regress. This occurs after 9-10 days and is distinguished by autolysis of the lutein cells. The resulting body is called the CORPUS ALBICANS. This is shown in the following photographs.


If the ovum is fertilized, the corpus luteum becomes the CORPUS LUTEUM OF Pregnancy and continues to maintain the embryo and uterine lining until the placenta can take over maintenance. What causes one follicle to dominate in a given cycle, thus retarding the growth of other follicles? What is the origin of the substance and where could you measure it? What is the role of relaxin during the ovulatory process? How long can the corpus luteum of pregnancy sustain the pregnancy?
Click here to study the pre-ovulation events in the ovary.
Gwen V. Childs, Ph.D., FAAA
Department of Neurobiology and Developmental Sciences
University of Arkansas for Medical Sciences
4301 W. Markham, Slot 510, Little Rock, AR 72205
For questions or concerns, send email to this address
