Mucosa
The stomach epithelium is simple columnar. This portion of the stomach is from the Cardiac region and is mostly made up of surface mucous cells. Thus, the epithelium is largely protective. The next slide you will examine is the FUNDIC region or BODY. This part of the stomach contains specialized cells for digestion.
Surface mucous cells
The cells lining the surface portion of the glands are SURFACE MUCOUS CELLS. They are distinguished by their lighter staining cytoplasm.
The loose connective tissue in this area is called the LAMINA PROPRIA. Recall that this layer is similar to that in the esophagus. However, because of the long glands in the stomach lined by prominent cells, it may be hard to see, except just under the surface mucous cells.
The portion of the gland lined by Surface mucous cells ends in a region called the GASTRIC PIT (foveolae). The pit opens up into the NECK area of the gland. Find these regions on your slide 51.
Identify the Lamina propria and the Neck region of the gland on this photograph.
A higher magnification is seen through the PIT. Note that the surface mucous cells sometimes look like Goblet cells, but they are not Goblet cells. What are the differences between Goblet cells and Surface Mucous cells in the stomach.
Parietal cells

The neck region continues as the Body of the gland. It is distinguished by purple MUCOUS NECK CELLS and the prominent round PARIETAL CELLS.
What do the parietal cells produce? Study an electron micrograph of a parietal cell to learn how it is uniquely structured to perform its function.
A higher magnification of the parietal cells shows them in relation to the mucous neck cells.
Chief Cells
The base of the gastric glands in the fundus is distinguished by CHIEF CELLS. These are basophilic (staining purple with Hematoxylin and Eosin) and distinguished by the presence of Zymogen granules. Like the pancreatic acinar cell, the zymogen granules contain digestive enzyme precursors.
You can also see some of the lamina proprial underneath the chief cells (note the large blood vessel.
Finally, this photo shows the layer of muscularis mucosa just under the lamina propria.
What types of enzymes are secreted by the Chief cells? After the enzymes are secreted into the lumena of the glands, what activates them for use in the stomach?
Enteroendocrine cells
Another cell type in the stomach is the enteroendocrine cell. This cell is polarized in the opposite direction to that of the other gland cells. It lies at the base of the glands, underneath the chief or parietal cells. Its secretory granules face the blood vessels in the lamina propria. The following figures show the enteroendocrine cells near either chief or parietal cells.


What types of hormones do the enteroendocrine cells in the stomach secrete?
The next layer after the mucosa and muscularis mucosa is the submucosa, seen as connective tissue. It is similar to that in the esophagus. No glands are seen in the submucosa of the stomach. The following photo illustrates these regions.

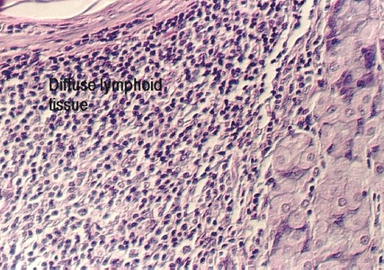
You may also see diffuse lymphoid tissue throughout the digestive tract. Below is a photo of lymphoid tissue in the stomach.


Underneath the submucosa are three muscle layers called the MUSCULARIS EXTERNA. The stomach has an inner oblique layer, which may be hard to see in some sections. After this is the inner circular layer (seen cut in longitudinal section in this photograph) and an outer longitudinal layer (seen cut in cross section).
The final region or layer is the connective tissue ADVENTITIA. It is lined by mesothelium and is actually called the SEROSA over the stomach. Try to find all of these layers in slide 51.
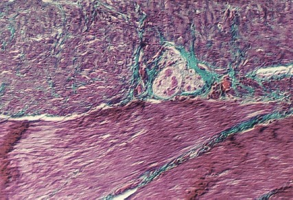
As in the case of the esophagus, the nerve supply to the stomach muscles and glands is autonomic. Fibers extend from ganglia in the spinal cord to ganglia in the wall of the GI tract. There, they synapse with other neurons localized in ganglia either in-between the muscle layers (Auerbach's plexus) or in the submucosa (Meissner's plexus). Look only for examples of Auerbach's plexus, as shown in the following photos.

Slide 52 is a section through the pyloric region of the stomach. It contains the basic structure of the glands in the fundus, except that parietal and chief cells are replaced by MUCOUS NECK CELLS. The following photo shows the mucosa and lamina propria in the pylorus. Note that the Gastric PITs are deeper. The second photograph shows the muscularis mucosa and submucosa.
Find the underlined regions on the photographs below


The following photographs show different views of the Auerbach's plexus in the pylorus. They are easier to find because of the Masson Trichrome stain that delineates the connective tissue (blue).



Gwen V. Childs, Ph.D., FAAA
Department of Neurobiology and Developmental Sciences
University of Arkansas for Medical Sciences
4301 W. Markham, Slot 510, Little Rock, AR 72205
For questions or concerns, send email to this address
http://microanatomy.net/digestive/stomach.htm
